-
1. 匿名 2025/11/22(土) 22:22:24
38歳です。歯茎の下がり具合がヤバいです。
治療はできるものなのでしょうか。
1度下がった歯茎は自力では戻らないみたいですが…
同じような悩みの方いらっしゃいますか?+151
-4
-
2. 匿名 2025/11/22(土) 22:22:55
歯磨きの圧が強いんじゃないの?+68
-9
-
3. 匿名 2025/11/22(土) 22:23:02
戻らないわ。過去の自分を恨みなさい。+17
-21
-
4. 匿名 2025/11/22(土) 22:23:06
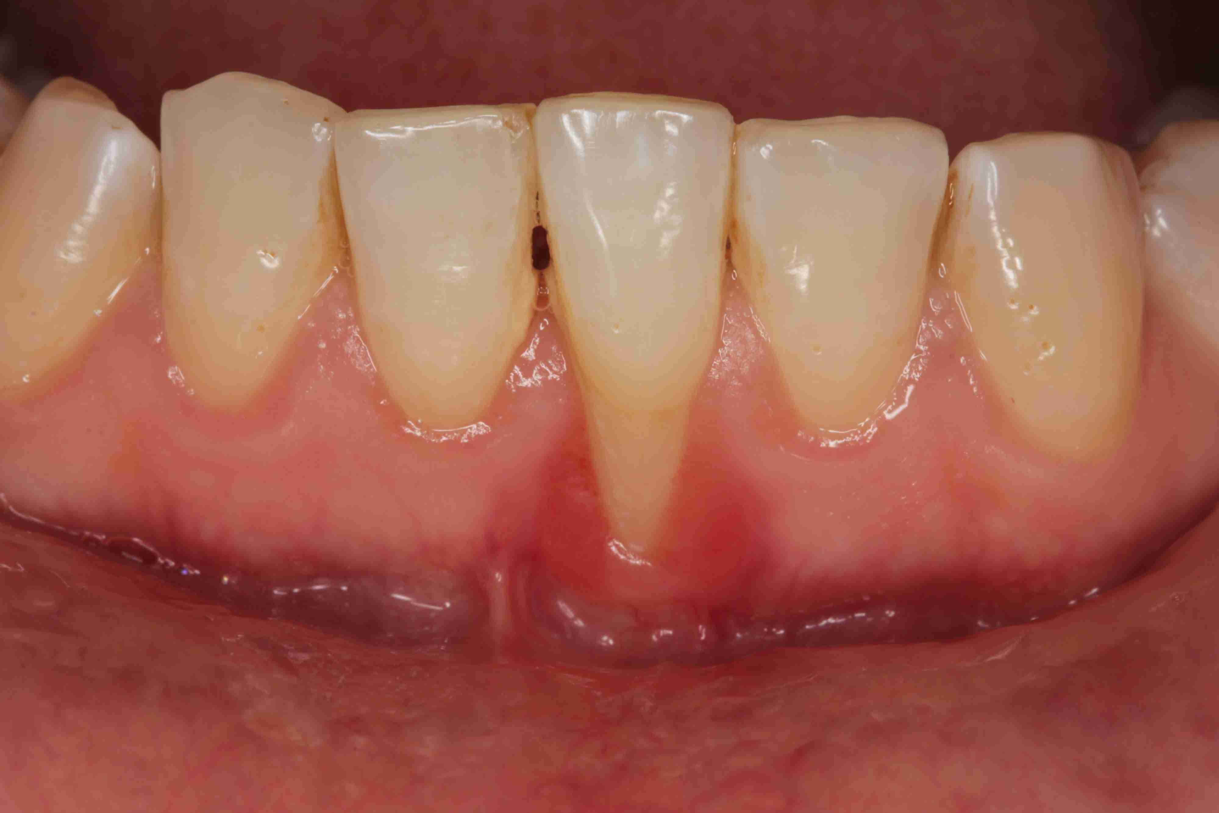
![歯茎がものすごく下がってきた]()
+4
-1
-
5. 匿名 2025/11/22(土) 22:23:06
あの人が思い浮かんだ+9
-1
-
6. 匿名 2025/11/22(土) 22:23:07
そりゃあ仕方ないよ
芸能人みたいに頻繁に歯医者行かんし+3
-33
-
7. 匿名 2025/11/22(土) 22:23:07
想像つかない+0
-12
-
8. 匿名 2025/11/22(土) 22:23:15
戻らないが引き締めることは可能と言われた あとそれ以上下がらないよう気を付けるしかないと+124
-0
-
9. 匿名 2025/11/22(土) 22:23:21
何が原因なの?同世代だから怖すぎる。。+31
-1
-
10. 匿名 2025/11/22(土) 22:23:23
まぁとりあえず歯医者行きな+17
-2
-
11. 匿名 2025/11/22(土) 22:23:29
歯茎が下がるってどういうこと?+3
-13
-
12. 匿名 2025/11/22(土) 22:23:35
マウスピース+12
-1
-
14. 匿名 2025/11/22(土) 22:23:54
>>9
加齢+85
-0
-
15. 匿名 2025/11/22(土) 22:23:54
食いしばり癖があるのかな+47
-1
-
16. 匿名 2025/11/22(土) 22:24:09
食い縛りが原因ならナイトガードがお勧め+21
-0
-
17. 匿名 2025/11/22(土) 22:24:17
>>2
歯磨きのアツよりも歯周病の可能性が高いと思う+77
-8
-
18. 匿名 2025/11/22(土) 22:24:22
歯石が溜まっている、歯軋りする…とか?+8
-1
-
19. 匿名 2025/11/22(土) 22:25:16
>>1
歯周病の他に、食いしばりや歯軋りでもなるよ。
歯医者で診てもらって。
自然に戻ることはない。美容整形でしか無理だよ+56
-3
-
20. 匿名 2025/11/22(土) 22:25:54
>>1
きちんと磨いていても年齢で下がるのは自然じゃないの?+38
-1
-
21. 匿名 2025/11/22(土) 22:26:20
>>1
治療はあるみたいだけどめちゃくちゃ高額だよねー+7
-1
-
22. 匿名 2025/11/22(土) 22:26:43
>>9
年取ると歯茎のケアの方が大切なのよ
主さんはちょっと早い気がするけど+47
-2
-
23. 匿名 2025/11/22(土) 22:27:00
フロスより、歯間ブラシがいいみたいよ
歯周病菌なんだとしたらだけど+6
-0
-
24. 匿名 2025/11/22(土) 22:27:19
![歯茎がものすごく下がってきた]()
+0
-20
-
25. 匿名 2025/11/22(土) 22:27:30
歯茎下がって根本に隙間が空くとどうしても老けた印象になるよね…+38
-1
-
26. 匿名 2025/11/22(土) 22:27:56
私も下がってきたー
でも歯医者さんに行ったら昔より歯茎?歯周ポケット?の状態はイイっぽい+38
-0
-
27. 匿名 2025/11/22(土) 22:28:00
>>9
歯周病が原因な人が多い
日本人は歯周病やその予備軍が多いんだとか+55
-0
-
28. 匿名 2025/11/22(土) 22:28:19
歯ブラシ、フロス、歯間ブラシは毎日やってて出血もないし歯茎の色もそんな悪いと思ってなかったのに別件で歯医者行ったら歯周病指摘された(恥ずかしながら8mmのとこもあった…) 一見綺麗だけど歯医者が見れば歯茎が腫れてるとも言われた 治療終わったら今度麻酔して歯石取るって言ってた
自分じゃ毎日見てるからわからないけど結構歯茎下がってるのかな?+58
-0
-
29. 匿名 2025/11/22(土) 22:29:09
>>14
もうどうしようもないってこと?予防はどうすれば+8
-1
-
30. 匿名 2025/11/22(土) 22:29:41
分かるマジやばい。
口内が乾燥して唾液が減るのが良くない為、就寝時口呼吸にならないようテープで口を塞ぐことを勧める。起きてる時も口は閉じる。口内環境の良い状態をキープする為ダラダラ食いは禁止。
それはそれとして歯周病に強い歯医者が私は知りたい+37
-0
-
31. 匿名 2025/11/22(土) 22:29:53
>>22
30超えると歯周病率かなり多くなるらしい+18
-1
-
32. 匿名 2025/11/22(土) 22:30:27
>>1
歯磨きの力が強すぎるのと寝てる時の食い縛りも関係あるみたい
私も歯茎下がってきたんたけど歯医者でマウスピース作ることをすすめられたよ+18
-0
-
33. 匿名 2025/11/22(土) 22:34:07
同い年!
歯医者さんは特に歯茎について指摘してこないけど素人目には歯茎は下がってる気がするしブラックトライアングルも気になるから年齢相当なのかも
でもそうだとしたら数年後どうなってるのか怖い+7
-0
-
34. 匿名 2025/11/22(土) 22:35:14
くいしばりかな?歯ぎしりや食いしばりが強い人はマウスピース使用して歯への負担を減らしたほうがいいよ!+9
-0
-
35. 匿名 2025/11/22(土) 22:36:07
>>6
3ヶ月ごと定期健診行ってるよ〜
+22
-0
-
36. 匿名 2025/11/22(土) 22:40:49
>>1
フロスでも下がる?+1
-5
-
37. 匿名 2025/11/22(土) 22:41:25
40代。歯並び悪い私はすごく歯茎が下がってて、知覚過敏。
歯並び悪いと磨きにくくて、必然的に歯ブラシの圧が強くなる。
定期検診もしっかり行ってるけど、こればかりは治らないからこれ以上下がらないようにしたいけど、どうしたらいいのか、、+33
-0
-
38. 匿名 2025/11/22(土) 22:41:28
歯医者行ってます?定期的にみてもらった方がいいよ+8
-0
-
39. 匿名 2025/11/22(土) 22:41:39
>>11
歯茎が痩せるのよ
お年寄りが食後つまようじを使うのはそれが理由
歯茎がやせるから歯間に物が詰まりやすくなる+45
-0
-
40. 匿名 2025/11/22(土) 22:41:56
>>1
力入れて歯磨きすると歯茎下がるって歯科衛生士に言われた+11
-0
-
41. 匿名 2025/11/22(土) 22:42:36
>>19
私は食いしばりがひどくてナイトガードも噛み切ってしまったので歯医者さんでエラ?顎?にボトックス打ってもらったよ
半年経つけどくいしばりは減ったみたい
少しだけフェイスラインもスッキリしだけど硬い肉食べるの疲れる+11
-1
-
42. 匿名 2025/11/22(土) 22:42:43
>>1
歯は大事
定期健診した方が良いよ
歯は症状でた時、気付いた時には進行してるから怖いんだよねえ。。
+20
-0
-
43. 匿名 2025/11/22(土) 22:43:05
>>1
それで知覚過敏になった。フロス当てるとキーンって痛む+2
-0
-
44. 匿名 2025/11/22(土) 22:44:18
年取ったら仕方ないよね
だから芸能人もセラミックにしてるじゃん
あれも、メンテナンスするお金なかったら、そのうちとんでもないことになるけどね
芸能人でも自前のままでいってる年配層は、歯並び悪くなってきてるじゃん
歯がもろくなるから歯並びも歯茎も悪くなる
めっちゃ茶色だったりね…
結局はお金あれば維持できる
+5
-0
-
45. 匿名 2025/11/22(土) 22:44:23
>>29
>>14
50歳だけど下がってないよ
上の前歯は正方形のままだし
下の歯も無事
どこの歯医者でも歯磨きが上手だって
よく褒めてもらってます
寝る前特に
正しくしっかり磨いてます
+9
-17
-
46. 匿名 2025/11/22(土) 22:46:23
40半ばあたりに気になるようになりました。
もう下がった分は戻らないけど食いしばりは言われなかった?私は寝る時マウスピースしてるよ。
私は下がりと同時に歯茎のボリュームが減り、ストロー使うと唇上に縦皺…(おばあさんの象徴)ボトックス打ちました。下がって隙間が嫌でジェルみたいな感じで埋めてもらいました。+1
-0
-
47. 匿名 2025/11/22(土) 22:46:25
>>29
>歯茎が下がる主な原因は、歯周病、不適切な歯磨き、歯ぎしり・くいしばり、加齢
まあ加齢以外でもなるからね…
一度下がった歯茎は自然には戻らない、外科手術しかない
予防は普通に知ってると思うけど、定期的に歯医者行って、正しい歯磨き、フロスや歯間ブラシ、健康的な食事、運動とかだよ、特別な事はないかも
あとはタバコ吸ってるなら禁煙とか+7
-0
-
48. 匿名 2025/11/22(土) 22:47:17
>>28
歯医者行って私より歯並びも歯茎の状態もキレイな写真見せられたんだけど 実はこの人歯周病なんですよって言ってそれから10年もしないうちに歯が半分くらい抜けた写真見て怖くなったよ
そんな私もかなり歯茎下がってきて見た目も悪いし食べ物挟まるし本当に嫌になる+21
-0
-
49. 匿名 2025/11/22(土) 22:49:21
>>42
私がそれ 虫歯が神経まで達して激痛のあまり根管治療、予後が悪くて今また歯医者通い 次回詰めた薬抜いて再び根管治療予定だけどマイクロスコープで診て歯の根元が割れてたら抜歯だって泣 今人生で1番最悪
これからは定期検診は必ず受ける
+3
-2
-
50. 匿名 2025/11/22(土) 22:49:32
>>33
私はブラックトライアングルを埋めてもらいました。(ジェルネイルみたいな感じ)見た目は満足してるけど違和感は拭えない…+5
-0
-
51. 匿名 2025/11/22(土) 22:49:47
>>1
私も同世代だけど最近気になり出した。
というか前から食べ物詰まりやすかったし歯茎下がってきてるなと思ってたし歯科での指摘もあったけどまた最近進んだなとおもう。
すごく嫌だよね。+10
-0
-
52. 匿名 2025/11/22(土) 22:50:36
>>1
iPS細胞って歯茎に使ったら再生しないのかな?
割と真剣に治験してほしい。+45
-0
-
53. 匿名 2025/11/22(土) 22:51:06
>>20
アラフィフ歯科衛生士だけど下がらないよ。
磨き方間違えていると歯周病じゃなくても下がってくる。
食いしばりも。+4
-1
-
54. 匿名 2025/11/22(土) 22:54:47
マツコなんかやったよね。
一時期はブラックトライアングルで歯が黒く見えてたけれど治療してからは黒くなくなった。
何やったんだろ?+6
-0
-
55. 匿名 2025/11/22(土) 22:55:36
>>29
フロス、歯間ブラシ、定期的な歯科検診+7
-0
-
56. 匿名 2025/11/22(土) 22:56:12
歯茎が下がるのと引き締まるのって判断つかなくない?+1
-1
-
57. 匿名 2025/11/22(土) 22:57:54
>>27
歯周病てどうやってわかるんだろ。+1
-0
-
58. 匿名 2025/11/22(土) 22:58:17
>>22
アラフォーだから早くはないよ+2
-0
-
59. 匿名 2025/11/22(土) 22:58:41
>>50
私もブラックトライアングルが気になっていて、それやってもフロスとかは通りますよね?
体にも害はないんでしょうか、、+3
-0
-
60. 匿名 2025/11/22(土) 22:59:26
>>56
歯間が見えてき出したら要注意で象牙質見え出したら歯周病進行。炎症が止まったら引き締まる+3
-0
-
61. 匿名 2025/11/22(土) 22:59:30
強く磨きすぎって言われたよ。歯ブラシ歯に当てて軽く左右にふるみたいな感じで磨いてってさ。確かにごしごしやりすぎてた。+12
-0
-
62. 匿名 2025/11/22(土) 23:02:21
YouTubeでは歯石取りNGって言ってる人もいて、どうしたらいいか分からない。とりあえず4ヶ月に1度行ってる。
でも生理前ズキズキするんだよねー+7
-0
-
63. 匿名 2025/11/22(土) 23:03:00
>>1
治療したことあるよ!いつもの歯医者ではできなくて、別の先生呼んでもらった。
もう8年位前だけど、その後は特に問題なく過ごしてるよ。+4
-0
-
64. 匿名 2025/11/22(土) 23:03:22
歯医者に行って定期的に歯石を取って歯茎の中も洗って掃除。殺菌してくれる歯磨き粉に変える。リステリンも併用。あと、食い縛り対策でストレスを減らす+1
-2
-
65. 匿名 2025/11/22(土) 23:05:07
ブラックトライアングルできてたりするの?+0
-0
-
66. 匿名 2025/11/22(土) 23:07:49
私も主と同い年で歯茎が下がってると歯医者に言われた。
ハードグミ好きなんだけど、止めた方がいいかな。+0
-0
-
67. 匿名 2025/11/22(土) 23:10:57
>>2
遺伝もあると思う
みんなどっちかの親とだいたい似た歯になる+14
-0
-
68. 匿名 2025/11/22(土) 23:11:14
>>11
歯茎が減って、歯がむき出しになることらしいよ
そうすると細い歯の根っこがでてきて、歯と歯の隙間ができる+5
-1
-
69. 匿名 2025/11/22(土) 23:14:28
>>1
歯周病になってるのと歯磨きのやりすぎ、強すぎの合わせ技
歯茎は少しは戻りますよ
ただその前に下がった原因を主自身が把握しないとより下がるだけです+6
-0
-
70. 匿名 2025/11/22(土) 23:23:16
>>57
歯医者行ったらわかるよ+8
-0
-
71. 匿名 2025/11/22(土) 23:23:26
>>61
落ちた気しないんだよねー+4
-1
-
72. 匿名 2025/11/22(土) 23:24:27
えのきがもう天敵!+22
-0
-
73. 匿名 2025/11/22(土) 23:36:54
>>53
それでも若い頃よりは下がるんじゃない?
骨だし+4
-0
-
74. 匿名 2025/11/22(土) 23:37:45
>>45
私も50代だけど歯ぐき下がってない。栄養失調でも歯槽膿漏になりやすいよ。小松菜がいいって聞いたけど鉄分やビタミンが関係する?+3
-0
-
75. 匿名 2025/11/22(土) 23:37:57
>>1
下がってるってどうやってわかるの?
基準は?+1
-0
-
76. 匿名 2025/11/22(土) 23:38:33
>>25
私今コレ
アラフォーで矯正し始めたこともあって、しっかりブラックトライアングルできちゃってます
事前に説明もあったけどね
ワイヤーで今は分かりにくいけど、ワイヤー取れたら目立つと思う…+8
-0
-
77. 匿名 2025/11/22(土) 23:43:53
私は歯茎から歯が生えたような?舌で歯茎を触ると歯が飛び出ているような感覚でびっくりして病院行ったら、歯茎が痩せて歯の根元が出てきてた。+0
-0
-
78. 匿名 2025/11/22(土) 23:46:48
>>59
フロスは通るけど取れてる感少ないです。なので歯間ブラシ併用です。+2
-0
-
79. 匿名 2025/11/22(土) 23:51:58
>>19
食いしばりが原因だろうって言われたわ
下がって象牙質が見えてる所に樹脂埋めてもらった+8
-0
-
80. 匿名 2025/11/22(土) 23:57:22
>>24
こちらはむしろ、上がってる(笑)方じゃない?下がってきたらちょうど良い長さになりそう+8
-0
-
81. 匿名 2025/11/22(土) 23:58:01
>>73
全く下がっていないよ
みんながみんな年齢と共に歯槽骨が吸収されるわけじゃないよ。
+0
-0
-
82. 匿名 2025/11/23(日) 00:03:14
歯並びにもよるよね
歯茎見えてたり、元から歯が小さい人は下がってない気がする
元から歯が長い人いるよね
とくに前歯+2
-0
-
83. 匿名 2025/11/23(日) 00:03:55
>>77
何か処置したの?+0
-0
-
84. 匿名 2025/11/23(日) 00:08:32
下がってるか分からない
どうやって分かるの?+0
-0
-
85. 匿名 2025/11/23(日) 00:09:18
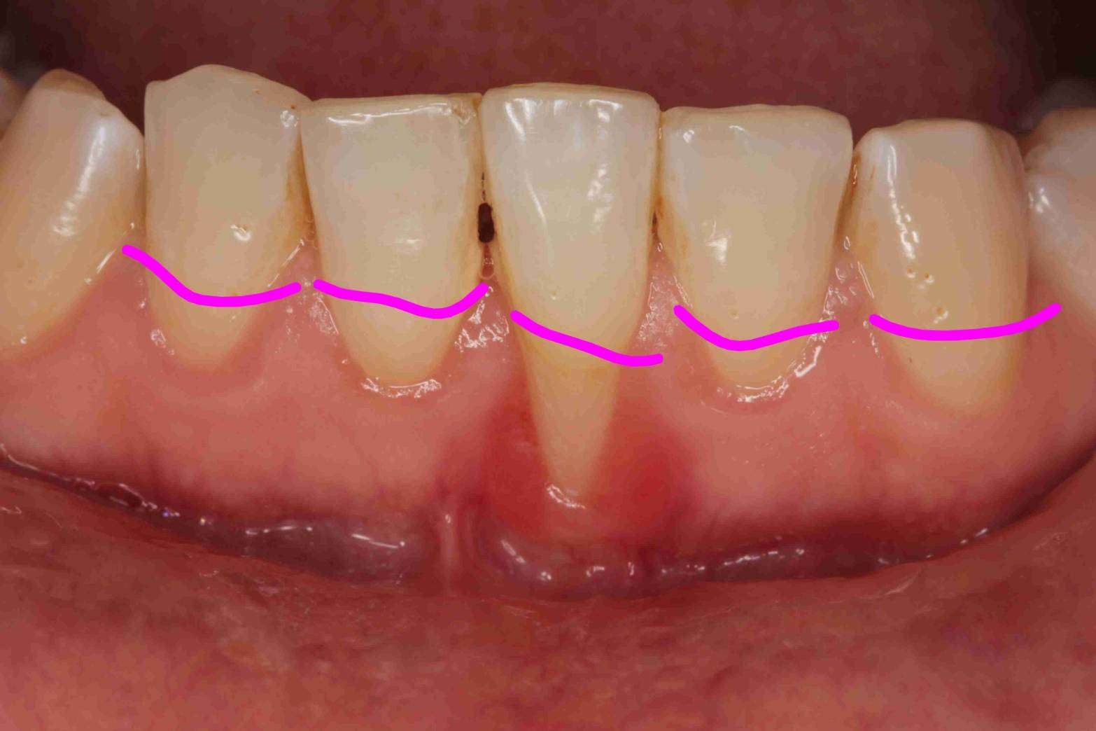
歯茎下がり、こんな状態らしい
知覚過敏になりそう![歯茎がものすごく下がってきた]()
+12
-0
-
86. 匿名 2025/11/23(日) 00:12:24
>>85
ここまでだといつ抜けるか気が気じゃないね…+19
-0
-
87. 匿名 2025/11/23(日) 00:13:04
>>2
歯茎を削るくらい強く磨くことでも歯茎下りはあり得るけど、そんな低い確率を言うよりまずは確率的には普通に歯周病でしょう
成人日本人の歯周病率はかなり高く大多数が歯周病持ちですから
+3
-2
-
88. 匿名 2025/11/23(日) 00:13:44
>>78
そうなんですね、返信くださりありがとうございます。
やはり審美的なものですよね、もう少し悩みます。+0
-0
-
89. 匿名 2025/11/23(日) 00:16:37
>>76
矯正すると下がるんですか?+1
-0
-
90. 匿名 2025/11/23(日) 00:17:07
>>1
何が原因か分からないから何とも言えない+0
-0
-
91. 匿名 2025/11/23(日) 00:17:40
>>85
これ周りの歯は下がってない状態?+3
-0
-
92. 匿名 2025/11/23(日) 00:22:11
>>43
私も歯磨きするとキーンってなって、歯周病専門の歯科に変えて診てもらったら知覚過敏の部分に薬塗ってもらえて一瞬で痛みが治った!何の薬かわからんけどマジですごい!+4
-0
-
93. 匿名 2025/11/23(日) 00:24:46
口周病の他にもビタミンCが足りなくなると出血や歯茎の痩せが出やすくなるという話を聞いたことがある+2
-0
-
94. 匿名 2025/11/23(日) 00:24:46
>>1
私も下がってきてる。私の場合は歯ぎしりが原因みたいでだから寝る時マウスピースつけるようになったよ。下がった歯茎を自分の上顎を切り取って下がった歯茎に移植するのがあるみたいだよ。私はたまたま行った歯医者さんですすめられてまだやってないんだけど、自由診療と保険適用があるって言ってたよ。一度歯茎再生やってる歯医者さん探して相談してみたらどうかな?+0
-0
-
95. 匿名 2025/11/23(日) 00:24:47
>>91
他の歯も3ミリくらい下がっていてて象牙質みえています。+0
-0
-
96. 匿名 2025/11/23(日) 00:27:37
>>95
追記、ピンクが本来の歯肉のライン![歯茎がものすごく下がってきた]()
+11
-0
-
97. 匿名 2025/11/23(日) 00:31:24
>>1
30代後半からモノは挟まるし、3ヶ月ごとに歯医者行ってたけど、ポケットも深いと指摘されたがブラッシングしかないと言われ、知覚過敏にもなって…歯周病に力入れてる歯医者に変えた!
いまは1ヶ月毎に通ってるけどブラッシング指導も丁寧だし、歯科限定?の歯磨き粉に変えて歯茎のムズムズや寝起きの口の粘り気もなくなったからこのまま頑張る。でも下がった歯茎は引き締まるけど戻ることはないそうです。+3
-0
-
98. 匿名 2025/11/23(日) 00:35:59
>>89
人によるとは思うんだけど、年齢的に下がるタイミングということと不揃いだった歯を綺麗に並べることで隙間ができる可能性があるんだって
+5
-0
-
99. 匿名 2025/11/23(日) 00:39:41
>>68
虫歯にでもならん限り歯医者に行かないのが当たり前で育って、大人になって初めて歯石取りしに行った時に下の歯の逆三角の隙間の出現にビックリしたわ。
普通に歯だと思ってた部分が歯石だったとは...+4
-0
-
100. 匿名 2025/11/23(日) 00:39:58
ちゃんと指導する歯医者は少ない+4
-0
-
101. 匿名 2025/11/23(日) 00:57:48
>>45
かわいそうに(歯じゃなくて)+4
-3
-
102. 匿名 2025/11/23(日) 02:23:09
親知らずから3番目の奥歯を抜歯したらブリッジと部分入れ歯どっちがいいですか? 余裕がないから審美性は置いといて保険診療でやってもらいたいんだけど…+1
-0
-
103. 匿名 2025/11/23(日) 03:40:44
>>2
あと食いしばり癖があると歯茎下がるよー+6
-1
-
104. 匿名 2025/11/23(日) 03:49:20
>>2
歯磨き強い人は歯周ポケットが磨けてない=歯肉炎や歯周病起こしやすい+2
-1
-
105. 匿名 2025/11/23(日) 04:23:45
>>101
マイナスがいっぱいで?+0
-0
-
106. 匿名 2025/11/23(日) 07:28:53
>>1
老化が原因でしょ
歯茎が下がると物も詰まりやすくなる
だからオッサンとか爪楊枝を使ったりする
いつまでも同じ体型、顔型を保てると思うなよw+0
-1
-
107. 匿名 2025/11/23(日) 08:15:27
下がってきてる。
とは言え、歯磨きを正しくしてるので歯茎は健康と言われてる。免疫力下がってたりすると悪い時もある。
正しい歯磨きしてればマシになるんじゃないかな‥+1
-0
-
108. 匿名 2025/11/23(日) 08:20:43
>>1
食いしばりもあるし、歯茎にブラシ当て過ぎて下がりました。
最近歯科行った?若くても歯科に定期的に行った方がいい。
+0
-0
-
109. 匿名 2025/11/23(日) 08:48:33
>>52
いや今も普通にPRPで治療はできるじゃん+0
-0
-
110. 匿名 2025/11/23(日) 08:52:13
>>72
えのき、鶏肉、ネギ、ゴマ+3
-0
-
111. 匿名 2025/11/23(日) 09:40:43
>>3
体質にもよるのだよ……
ストレスもね…
うちの母は虫歯もない人だったけど、事故で突然父を亡くしたあたりから一気に歯茎が下がって歯を失った。+3
-0
-
112. 匿名 2025/11/23(日) 10:09:06
>>83
薬処方されました。あとストレス等も関係するみたいです。日によって、今日は出てない(笑)みたいな日もある。薬飲んでからは不思議と大丈夫。+0
-0
-
113. 匿名 2025/11/23(日) 10:44:45
アメリカで矯正して下の歯茎下がりすぎて🥺8本分移植した!
もう8年経つけど下がったりしてないしやってよかったよ〜
上顎の組織切ってするんだけど総額80万くらいかな?+2
-0
-
114. 匿名 2025/11/23(日) 11:00:05
>>1
アラフィフだけどどんどん下がってる
歯医者さんで定期検診はしてるけど、エイジングだからしょうがないって言われる
心配すぎて、このまま歯茎下がったら歯が抜けないか訊いてみたら、骨がしっかりしてれば抜けないって(本当かな…+1
-0
-
115. 匿名 2025/11/23(日) 11:03:51
歯科で歯茎をぼろぼろにされたら警察に行きましょう+0
-0
-
116. 匿名 2025/11/23(日) 13:29:12
>>102
入れ歯に抵抗がないなら部分入れ歯かな。
でも保険の入れ歯だと適合性悪いからつけなくなる可能性あるから審美を気にしないならブリッジかな。
健全歯削るのもったいないけど。
+2
-0
-
117. 匿名 2025/11/23(日) 13:37:08
歯石とり3年で2回やって
歯磨きしてそのあとマウスウォッシュで口濯いでる
歯茎下がるの歯槽膿漏だろ 金掛かっても歯石取りに行くべき+1
-1
-
118. 匿名 2025/11/23(日) 14:09:27
>>116
お返事ありがとうございます!!そう、健康な歯を削るのに抵抗がある… でも安い方にしたいです+3
-0
-
119. 匿名 2025/11/23(日) 14:16:47
>>118
安いのは保険ならブリッジも入れ歯も値段変わらないけど
入れ歯の方が若干安いと思う。治療時間も回数も入れ歯の方が短い。+3
-0
-
120. 匿名 2025/11/23(日) 14:19:14
>>118
追記、一度入れ歯作ってみて使ってみてどうしても無理ならブリッジにしてみればいいじゃん。
その逆は出来ないんだから。+4
-0
-
121. 匿名 2025/11/23(日) 14:28:25
>>120
>>119
使い心地は使ってみてから考えるとして入れ歯の方がよさげですね!値段と削らないってのがかなり大きい…詳しくありがとうございましたm(_ _)m 助かりました+4
-0
-
122. 匿名 2025/11/23(日) 15:27:08
>>73
下がるよね
全身の肉がコラーゲンや水分など潤いが失われるから、歯茎も同じ事が起きると思う+1
-0
-
123. 匿名 2025/11/23(日) 15:30:17
>>76
私もアラフォーで矯正してなった
下の歯がスカスカ
矯正でスカスカして元に戻るのは、せいぜい20代前半までと言われた
+0
-0
-
124. 匿名 2025/11/23(日) 17:11:25
>>62
生理前ははがうずくよ+0
-0
-
125. 匿名 2025/11/23(日) 19:21:42
>>1
遅らせることはできるから、歯医者にいってケアしよ!+0
-0
-
126. 匿名 2025/11/23(日) 19:39:19
歯茎がもともと薄い人は肉厚な人と比べると下がりやすいらしいよ+0
-0
-
127. 匿名 2025/11/23(日) 19:55:41
歯磨き粉使うのやめてみては?
あれは研磨剤と洗剤だから口内粘膜には良くなさそう
自分は歯ブラシを水に付けるだけで磨いてる
歯茎と歯に特に問題はない+1
-0
-
128. 匿名 2025/11/23(日) 20:04:22
>>63
素敵!興味あります。それは移植ですか?+0
-0
-
129. 匿名 2025/11/23(日) 20:24:15
>>123
そうなんですね…私もスカスカだわ
仕方ないですよね+0
-0
-
130. 匿名 2025/11/24(月) 19:05:42
>>117
3年で2回?+2
-0
-
131. 匿名 2025/12/05(金) 12:59:12
>>54
歯茎の肉を足す歯肉移植法という治療だね。
上あごとか目立たないとこから歯肉を採取して移植するとのこと。
自家組織ならトラブル少なそうだし、若々しい口元になるの羨ましい。+1
-0
-
132. 匿名 2025/12/05(金) 15:52:34
>>1
予防歯科もやってるところに行きな+0
-0
コメントを投稿する
トピック投稿後31日を過ぎると、コメント投稿ができなくなります。関連トピック
関連キーワード
削除すべき不適切なコメントとして通報しますか?
いいえ
通報する



