-
1. 匿名 2017/09/07(木) 22:57:06
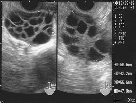
お腹の中には既に六つ子の胎児が確認でき、男の子3人、女の子3人に別れている。
いたずらばかりする男の子3人の育児に悩まされ、女の子が欲しいために夫婦は妊娠と流産を繰り返すも、排卵誘発剤により妊娠に成功。その結果六つ子の妊娠となった。
医師は「超音波画像を見たが、六つ子は非常に珍しい。現在全ての胎児は健康状態で、3人の男の子と女の子が確認できる」としている。+332
-10
-
2. 匿名 2017/09/07(木) 22:57:36
白人の子供はかわいいのう+110
-49
-
3. 匿名 2017/09/07(木) 22:58:06
す、すごい!+656
-4
-
4. 匿名 2017/09/07(木) 22:58:07
すごい!+341
-1
-
5. 匿名 2017/09/07(木) 22:58:21
ニートにならなきゃいいね+115
-28
-
6. 匿名 2017/09/07(木) 22:58:35
どうやって産むの?
帝王切開?+495
-1
-
7. 匿名 2017/09/07(木) 22:58:36
なんかアリの巣みたい+413
-24
-
8. 匿名 2017/09/07(木) 22:58:36
全員、無事で生まれますように!+558
-2
-
9. 匿名 2017/09/07(木) 22:58:42
むつごってお腹の大きさどうなってしまうの!!!+599
-1
-
10. 匿名 2017/09/07(木) 22:58:46
発覚って、妊娠に使う言葉じゃないよね+212
-19
-
11. 匿名 2017/09/07(木) 22:58:51
3人でも大変なのにいきなり9人って想像を絶する+610
-0
-
12. 匿名 2017/09/07(木) 22:59:04
どうなってんの、これ!+129
-1
-
13. 匿名 2017/09/07(木) 22:59:06
いきなりびっくりするよね+40
-3
-
14. 匿名 2017/09/07(木) 22:59:09
>>1
本当に複数いるー!+197
-1
-
15. 匿名 2017/09/07(木) 22:59:29
お腹‥耐えられるのかな?+359
-2
-
16. 匿名 2017/09/07(木) 22:59:33
みんな無事に産まれてきますように(°▽°)+268
-2
-
17. 匿名 2017/09/07(木) 22:59:36
お腹がエベレストみたいになりそう!!人間の体の神秘!タモリの特番思い出します。(古い)+124
-0
-
18. 匿名 2017/09/07(木) 22:59:47
一人でもパンパンだったのに6人なんてっ
恐ろしいʕ⁎̯͡⁎ʔ+442
-2
-
19. 匿名 2017/09/07(木) 22:59:48
エコー写真面白い!+151
-2
-
20. 匿名 2017/09/07(木) 22:59:55
3つご以上はかなりレアなの?+166
-3
-
21. 匿名 2017/09/07(木) 22:59:57
ほんと?!
お腹の中で大きくなれるのかな?
母体には限界があるよね?
+258
-0
-
22. 匿名 2017/09/07(木) 23:00:04
9人の子どもを育てるなんて・・・・
食費その他が凄そう+340
-4
-
23. 匿名 2017/09/07(木) 23:00:26
手足かわいい!
けど男の子育児に悩んで女の子ほしさに...って大丈夫なのかな
女の子だって口は達者だし可愛いばかりじゃないんだけど。+373
-10
-
24. 匿名 2017/09/07(木) 23:00:27
日本人の体格だとやっぱり難しいのかな?
耐えれないよね?+38
-5
-
25. 匿名 2017/09/07(木) 23:00:34
>>20
レアじゃない?
双子しか会ったことないよ、
+105
-2
-
26. 匿名 2017/09/07(木) 23:00:38
その後の経過も教えて欲しいくらい興味引かれるわ+160
-0
-
27. 匿名 2017/09/07(木) 23:00:38
エコーはこんな風になるんだ+149
-2
-
28. 匿名 2017/09/07(木) 23:00:48
エコー写真すごいな、初めて見たわ!+235
-0
-
29. 匿名 2017/09/07(木) 23:00:51
また三人がすでにやんちゃそうw
あと6人も大変だ+148
-2
-
30. 匿名 2017/09/07(木) 23:00:52
排卵誘発剤使うと、ほんとに双子以上が多くなるんだね+230
-1
-
31. 匿名 2017/09/07(木) 23:01:05
4人いるけど大変…一気に赤ちゃん6人。可愛いけどずっと寝れないね笑+194
-3
-
32. 匿名 2017/09/07(木) 23:01:27
お腹大きくなりすぎて生活に支障が出そう+79
-2
-
33. 匿名 2017/09/07(木) 23:01:41
六つ子だとお腹の中こうなってるんだ~
初めて知った
世の中知らない事だらけ+220
-1
-
34. 匿名 2017/09/07(木) 23:02:03
多胎児って健康に生まれて来てくれるだけでありがたいよね。双子でも大変なのに。母体のことを考えると未熟児の状態で帝王切開になるのかな?みんな無事に生まれてきますように!+200
-1
-
35. 匿名 2017/09/07(木) 23:02:04
三つ子以上って自然には妊娠しないって聞いた+25
-21
-
36. 匿名 2017/09/07(木) 23:02:08
6人ともお腹の中で普通の赤ちゃんの大きさになるのかな?
お腹大丈夫!?+50
-2
-
37. 匿名 2017/09/07(木) 23:02:29
早期に帝王切開、だろうね。
…祝福より心配が先に来ちゃう。
無事に産まれてほしいね。+226
-0
-
38. 匿名 2017/09/07(木) 23:02:32
こういうのは無事に産まれてから騒いだ方が良いと思うけどな…+104
-1
-
39. 匿名 2017/09/07(木) 23:02:38
赤ちゃん6人
乳児の頃とかママパパだけじゃとても無理そう+97
-0
-
40. 匿名 2017/09/07(木) 23:02:47
一人でも3000か4000くらい?でお腹パンパンなのに
大丈夫なの?!
2000でも6人になれば12000だよ?!
+148
-4
-
41. 匿名 2017/09/07(木) 23:02:49
>>18
全員が1人産む時みたく2kg3kgで産まれてこないから大丈夫。
>>22
欧米は国や州で子供用の手当てがあるから大丈夫。
国によっては学費無料だったり医療費無料だったり。+106
-2
-
42. 匿名 2017/09/07(木) 23:03:02
人工的な妊娠は三つ子とかそれ以上になる可能性が高まるんだよね。しかし6人いて女の子が産まれなかったりたった一人とかだったらこの夫婦どうするんだろ。。+103
-3
-
43. 匿名 2017/09/07(木) 23:03:08
両親の笑顔素敵じゃん
楽しみなんだろうね。頑張れ!+75
-0
-
44. 匿名 2017/09/07(木) 23:03:48
無事に6人とも生まれてきますように...
それにしてもいきなり9人の子持ちになるのは流石に想像出来ないな(^^;
ただでさえ3人でも大変だろうに
+102
-2
-
45. 匿名 2017/09/07(木) 23:04:11
オクトマムと違ってマトモそうでよかった+4
-0
-
46. 匿名 2017/09/07(木) 23:04:21
嬉しいけど、最後って決めた時の双子はびっくりするよね...
予定してた計画が崩れる+59
-2
-
47. 匿名 2017/09/07(木) 23:04:44
3人の男児に手を焼いて女の子欲しい!!ってなった夫婦があと6人増えて大丈夫なのか心配+150
-0
-
48. 匿名 2017/09/07(木) 23:04:57
こんなエコー写真見たことない!
臨月のお腹の大きさも気になる…
お母さんも赤ちゃんも無事に出産できますように。+68
-2
-
49. 匿名 2017/09/07(木) 23:05:28
胎児の重さが合わせて約4kgになったとしても、1人650gくらいしかないんだよね
みんな未熟児も同然で産まれてくるんだ…
全員が健康に大きく育ちますように!+138
-0
-
50. 匿名 2017/09/07(木) 23:05:34
もう性別わかってるんだ!
このエコー写真だとまだ初期くらいかと思った+24
-2
-
51. 匿名 2017/09/07(木) 23:05:55
母も子供もみんな無事に産まれる確率低いのかな...?
みんな無事であってほしい!+7
-0
-
52. 匿名 2017/09/07(木) 23:06:07
さすがに40週までお腹の中は無理だろうから、早めに帝王切開で産んでしばらくは保育器かな?
1人でさえ大変なのに、いきなり6人増えるなんて想像するだけで気絶しそうw+51
-0
-
53. 匿名 2017/09/07(木) 23:07:40
3人の男児育児に悩んで女の子欲しいがために排卵誘発剤で6つ子ちゃん妊娠ね…
素直におめでとうとは言いにくいけど出産頑張って下さい+13
-4
-
54. 匿名 2017/09/07(木) 23:09:05
ギネスは8つ子(確か母親が医師の意見を無視してたくさんの子供を産みたくて治療した)だよね。
お母さんももちろん大変だけどお父さんも、三つ子のお兄ちゃん達も一気に家族が増えて大変だよね!なにより赤ちゃん無事産まれてきますように!+30
-1
-
55. 匿名 2017/09/07(木) 23:09:24
>>7
真っ先にアリの巣って思った。
気持ち悪いぐらい綺麗に住み分けしている。
多胎児はお腹の中から良い意味できょうだいで競い合っているのかなって思った。
+40
-1
-
56. 匿名 2017/09/07(木) 23:09:27
男の子育てるのが悩みでまた男児3人妊娠してるけど大丈夫なの?+30
-2
-
57. 匿名 2017/09/07(木) 23:10:01
すごい着床率+19
-1
-
58. 匿名 2017/09/07(木) 23:10:25
野球チーム作れるやん+15
-0
-
59. 匿名 2017/09/07(木) 23:10:38
日本だとおめでとうって言いにくい案件+16
-5
-
60. 匿名 2017/09/07(木) 23:10:52
>>24
300年くらい前に丸亀藩に出生記録があるけど
ちゃんと育ったかどうかは不明らしい
自然分娩しかない時代だからたぶん無理だろうけど
近代でも日本じゃ5つ子までしか聞いたことないな+21
-2
-
61. 匿名 2017/09/07(木) 23:11:13
無事に生まれ欲しいね。
二人とも幸せそうな顔。+18
-0
-
62. 匿名 2017/09/07(木) 23:11:50
すみません
集団恐怖症なので、エコー写真が駄目だ...
+20
-15
-
63. 匿名 2017/09/07(木) 23:12:30
野球チームができるねw+6
-2
-
64. 匿名 2017/09/07(木) 23:12:33
なんとなくそこそこ裕福な気がする+17
-1
-
65. 匿名 2017/09/07(木) 23:12:49
>>59
私は普通におめでとうって言うけど?
性格悪いね。+20
-3
-
66. 匿名 2017/09/07(木) 23:13:03
日本人体型だと六つ子は厳しそう+37
-1
-
67. 匿名 2017/09/07(木) 23:14:54
イタズラばかりする男の子の育児に悩まされ、って女の子だってイタズラするけど。
女の子を美化してない?+45
-4
-
68. 匿名 2017/09/07(木) 23:16:09
息子かわいい!+17
-0
-
69. 匿名 2017/09/07(木) 23:16:51
>>40
こういう場合は一人一人が低体重だと思うけど。1000~1500とか。+23
-0
-
70. 匿名 2017/09/07(木) 23:17:26
>>65
6つ子だとかなりリスク高いから無事に産まれるまではおめでとうとは言えない。+18
-2
-
71. 匿名 2017/09/07(木) 23:19:41
育てられるよね。。。?+1
-3
-
72. 匿名 2017/09/07(木) 23:20:04
>>69
1000もいかないと思う。
この方、4つ子だけど453gだから。
11か月間で5人の娘を亡くした夫婦「人の温かさに救われた」(米)girlschannel.net11か月間で5人の娘を亡くした夫婦「人の温かさに救われた」(米) <要約> ●夫妻に2013年、長男カーター君(4歳)が生まれた。出産後すぐ脳腫瘍が見つかったクラリッサさんは放射線療法により自然妊娠ができなくなったが2016年、人工授精により長女シャナちゃん...
+8
-0
-
73. 匿名 2017/09/07(木) 23:21:31
お母さんけっこう歳いってるのかな?+6
-0
-
74. 匿名 2017/09/07(木) 23:22:10
子供の世話で働けないから生活保護者になりそう
そう言うの仰天で見た…+5
-0
-
75. 匿名 2017/09/07(木) 23:23:40
いま妊娠中だけど。私のお腹には1人。
いやーすご過ぎる。
心配も費用も労力も6倍?+6
-3
-
76. 匿名 2017/09/07(木) 23:25:27
ちなみにおそ松くんは一卵性六つ子![【リアルおそ松くん】3人の子どもが居る夫婦、六つ子が発覚し9人の子どもに!]()
+28
-1
-
77. 匿名 2017/09/07(木) 23:30:04
外に出せるギリギリのとこで帝王切開?
超未熟児で出すのかな。
てか、家族総出で抱っこしないと
腕は足りないし
上の子達学校行かせてる場合じゃない
母乳じゃまかなえないからミルクも6人分?
離乳食6人分?
現実的に育てるの無謀だよね?+27
-3
-
78. 匿名 2017/09/07(木) 23:36:40
色々心配はあるだろうけど、幸せそう!
母子ともに健康でありますように!+1
-1
-
79. 匿名 2017/09/07(木) 23:38:03
人の体の中がこれと思うと薄ら寒くはあるのですがね
ともあれ元気に生まれてくれるのを祈っております+1
-0
-
80. 匿名 2017/09/07(木) 23:45:04
エコー写真すごい!こんなんなるんや!
母子ともに健やかであることを願ってます!+12
-0
-
81. 匿名 2017/09/07(木) 23:58:05
お腹の中で蹴り合いしてそうw
でもかなり小さく産まれるから
目とか肺が発達してないから
ど近視で
瓶底メガネつけなくちゃいけない子
多いよね+3
-3
-
82. 匿名 2017/09/07(木) 23:59:05
スゴイ…!頑張ってね!母子ともに健康でありますように!+3
-1
-
83. 匿名 2017/09/08(金) 00:02:19
もうテレビとかに取り上げてもらって育児まで全面サポートしてもらわないと身体が無理じゃない??
ミルクも6人分、おむつも抱っこも6人…プラスやんちゃな男の子3人!
自分の他にあと2人はいないと手が回らないわ!+16
-1
-
84. 匿名 2017/09/08(金) 00:02:35
発覚って言うから不倫相手に6つ子ができたのかと思ったよ。
判明ね。判明!+9
-0
-
85. 匿名 2017/09/08(金) 00:02:48
生まれても低体重児だろうから
無事に全員すくすく育ちますように!
親だけじゃ9人の面倒なんて絶対無理だから
誰か協力してくれる人いるのかな+6
-0
-
86. 匿名 2017/09/08(金) 00:03:09
ヤンチャそうだけど一気に6人も赤ちゃんが産まれたら上の3人はしっかりしてお手伝いもしてくれそうじゃない?
1人2人増えたのとは訳が違うし両親がアタフタしてたら子どもって一気に成長するし〜!
元気な赤ちゃんが生まれるといいな♪+5
-1
-
87. 匿名 2017/09/08(金) 00:03:42
世界には沢山産んでる人が居るんだね
びっくり!!
調べたら、生存してるので最大は8つ子
もっと多いのは生存出来てないらしい
画像は8人産んだお母さんのお腹
怖すぎ!破裂しそう。![【リアルおそ松くん】3人の子どもが居る夫婦、六つ子が発覚し9人の子どもに!]()
+55
-0
-
88. 匿名 2017/09/08(金) 00:11:34
腹帯とかの支え無しだと重力でちぎれそう‼️
1人でもあんなに苦しかったのに+4
-0
-
89. 匿名 2017/09/08(金) 00:13:21
無謀すぎるよ
お母さんのからだ持つのかな…
+1
-0
-
90. 匿名 2017/09/08(金) 00:24:10
長男君が真っ直ぐ育ちますように。+4
-1
-
91. 匿名 2017/09/08(金) 00:39:34
リアルおそまつくんって言うから、一卵性かと思った。誘発剤だから一卵性ではないね。欧米では、誘発剤で授かったあとの減産手術も残念ながらたくさんやってるけど、六人産むんだね。すごい。
ミルク代オムツ代かかるのはもちろんだけど、哺乳瓶の消毒とかでも疲れそう。ヘルパーとかがいるのかな?+1
-0
-
92. 匿名 2017/09/08(金) 00:45:39
今日学校で通常の子宮の大きさより妊娠したら最大(臨月時)で500倍になってるんだよ
って習ったけど六つ子の場合何倍になるんだろうか+7
-1
-
93. 匿名 2017/09/08(金) 00:53:47
インスタで四つ子五つ子のアカウントよく見るんだけど人の子だと可愛いと思えるけど自分が育てるとなるとキツそうだと思う
とりあえず海外の広い家じゃないとまず無理だよね
赤ちゃん1人ずつに必要な色々なもので家が埋まってしまう+19
-0
-
94. 匿名 2017/09/08(金) 01:02:01
一番上のお兄ちゃんイケメンだね!+8
-1
-
95. 匿名 2017/09/08(金) 01:22:18
赤ちゃん無事に産まれたらまたトピにあげてほしい!![【リアルおそ松くん】3人の子どもが居る夫婦、六つ子が発覚し9人の子どもに!]()
+14
-1
-
96. 匿名 2017/09/08(金) 01:31:53
6つ子くらいなら世界で産んでるから何とかなるんだろうね
こんなにいたら生活はどうなるんだろうとそっちが心配
+0
-7
-
97. 匿名 2017/09/08(金) 01:45:10
>>62
胎児というより、この蟻の巣みたいに分かれてるのがゾクッとする。+12
-2
-
98. 匿名 2017/09/08(金) 01:46:52
3人でも育児に悩んでるのに排卵誘発剤まで使ってまた妊娠したいってのがよく分からん。+10
-1
-
99. 匿名 2017/09/08(金) 01:50:57
ものすごく子供好きか、宗教的に避妊せずたくさん産むのが美徳な人もいるのかな
+1
-0
-
100. 匿名 2017/09/08(金) 01:51:23
授乳とオムツ替えで1日終わりそう。+13
-0
-
101. 匿名 2017/09/08(金) 01:52:16
丸とかブツブツが苦手なのでエコー写真もちょっと。。+3
-4
-
102. 匿名 2017/09/08(金) 01:52:47
リアルで野球チームが出来るくらい欲しいです!ってやつみたい。
昔の結婚式のおじさんのスピーチにありそうな。
無事に生まれてくるといいねー!+4
-0
-
103. 匿名 2017/09/08(金) 03:10:40
さすがにベビーシッター雇わないと寝る暇なさそう。
+8
-0
-
104. 匿名 2017/09/08(金) 03:50:00
蓮画のでっかいバージョンみたいでムズムズした…
ちょっと気持ち悪い+3
-2
-
105. 匿名 2017/09/08(金) 04:08:24
エコー4人しかいないけど反対側に二人いるんかな?
さすがに6人だと一度に写らないんか+8
-0
-
106. 匿名 2017/09/08(金) 04:25:42
お母さんの体が心配、、、母子共に元気でありますように!!!+6
-0
-
107. 匿名 2017/09/08(金) 06:42:02
ごめん、お腹のエコー画像が気持ち悪いと思ってしまった
アメリカも宗教によって避妊や堕胎だめとかあるからね
丈夫じゃないと無理だね+2
-4
-
108. 匿名 2017/09/08(金) 06:58:50
双子妊娠してた時すでに出産経験あるからかすぐ頸管短くなって管理入院になったけど、その時妊娠27週だった。医師から32週まで頑張ってほしい、36週までお腹の中にいられるのが理想って言われてて同時期に三つ子妊娠してた相部屋の人は母体の限界だから32週で帝王切開してた。六つ子はいつまでお腹の中で育てられるんだろう?
上の子がやんちゃな男の子だしお母さんが無理しないことを祈る…+13
-0
-
109. 匿名 2017/09/08(金) 07:02:03
知り合いに五つ子のお母さんいて
妊娠初期からたまに会ってたけどお腹出るスピードめちゃくちゃ早い
当時私は未婚だったからよく知らなかったけど
5ヶ月でもうかなり出てたと思う
9ヶ月とかもう長く歩けないって言ってたし10ヶ月入って最後に会った時はもう車いす乗ってたw
腹帯だっけ?あれ市販の一枚は無理だから二枚つなげてるって
もちろん自然分娩は難しいから帝王切開
産まれた子はみんな幸いにも元気!
でも大変みたいで体格良い人だったけどめちゃくちゃ痩せちゃって
お腹の皮がモモンガみたいになるよ~って笑ってたわ…今小6ぐらいだけどみんなカワイイ
このお母さんも国からの金銭的なサポートだけじゃなくてお世話手伝ってくれる人も常駐してないと無理だよね…
+11
-1
-
110. 匿名 2017/09/08(金) 07:17:34
お腹に六人も入るんだね
すごい+2
-0
-
111. 匿名 2017/09/08(金) 07:27:05
>>87
子供ぼんぼん産んで生活保護で暮らしてる親でしょ
前にガルちゃんでトピたったよ
イギリスかなんかのさ+5
-1
-
112. 匿名 2017/09/08(金) 07:30:17
ヘソの緒が6本かー、1本でも動悸が怖いのにすごいな。頑張って欲しい。子だくさんの人が羨ましいよ。だけど9人はヤバイ。+2
-0
-
113. 匿名 2017/09/08(金) 07:34:29
すごい!
産まれたらまたトピ立ててほしい(o^^o)+5
-0
-
114. 匿名 2017/09/08(金) 07:51:28
6人もいたら栄養全部吸いとられてミイラになりそう。帝王切開なんだろうね+4
-0
-
115. 匿名 2017/09/08(金) 07:58:07
見た感じ裕福そうだし良いんじゃない?何故日本の大家族は貧乏くさいのばかりなんだろう+5
-0
-
116. 匿名 2017/09/08(金) 08:09:28
三兄弟がやんちゃしそうだし、
三姉妹は、口達者そう+0
-0
-
117. 匿名 2017/09/08(金) 08:10:19
ちゃんと育つのかしら…。
日本でも、明治時代に、自然に生まれた六つ子がいたらしいけど、すぐ全員亡くなったらしい。+0
-0
-
118. 匿名 2017/09/08(金) 08:11:20
>>105
下の段に3人いるよ(^^)+0
-0
-
119. 匿名 2017/09/08(金) 08:32:01
お母さんもお腹の赤ちゃんも健康でありますように無事に生まれてきてくれることを祈ります
インドで9つ子とか生まれてるし早い段階で帝王切開でしょうね
でも生まれてからのほうが大変!
経済的に余裕があるんでしょうね
+0
-0
-
120. 匿名 2017/09/08(金) 08:37:43
>>117
明治の日本じゃ無理でしょ
保育器とかないし+0
-0
-
121. 匿名 2017/09/08(金) 09:07:51
純粋な疑問なんだけど複数同時に子供ができるのは精子が強いってこと?+0
-4
-
122. 匿名 2017/09/08(金) 09:21:54
凄い事だと思う!いきなり6人は大変だろうなー。本当に失礼だと思うんだけどエコー写真にぞわっとしてしまった。赤ちゃんの形してて可愛いんだけど、いっぱい袋があるのと集合してて鳥肌たっちゃった。+1
-0
-
123. 匿名 2017/09/08(金) 09:32:24
NICU で勤めてます。三つ子ちゃんの時は約1000グラム×3で生まれましたが幸いにもみんな元気に退院してました!ただ、施設の大きさにもよりますけど6人前の空き病室、保育器と人工呼吸器、その他人員確保などはなかなかに難しいかと...。
6人が離ればなれの病院に行く可能性はありますし、長期戦は覚悟ですね。心配です。
赤ちゃん、お母さんをはじめとした家族、そしてサポートする医療スタッフ。みんな頑張ってほしいです!
+6
-0
-
124. 匿名 2017/09/08(金) 09:47:39
きもちわる!!+1
-2
-
125. 匿名 2017/09/08(金) 09:49:26
一人でもパンッパンになるのに六人て…
お腹がグロいことになりそう
+2
-0
-
126. 匿名 2017/09/08(金) 09:51:46
6人もいてみんなにちゃんと栄養いくのかなー
健康に生まれてこなそうじゃない?+1
-0
-
127. 匿名 2017/09/08(金) 10:01:00
>>20
5つ子ちゃんなら知ってます。
幼稚園の時、クラスに日本初の5つ子ちゃんがいましたよ。
子供心になんで同じ顔がいっぱいいるんだろうって不思議でした。
日本初だったし、父親がNHKの職員だとかで幼稚園にもテレビの取材が時々きてた。
成長記録みたいなやつで。
今なにしてるんだろう。
+5
-0
-
128. 匿名 2017/09/08(金) 10:52:49
凄いなぁ。ちゃんと部屋出来てる+2
-0
-
129. 匿名 2017/09/08(金) 11:54:56
>>5
アニメみたいにはならないさ(笑)+1
-0
-
130. 匿名 2017/09/08(金) 12:30:15
こんなに胎児の袋❓がはっきりしてるの初めて見た‼️北朝鮮の腹立つ話で嫌な日々だけど良いニュースを聞けてこっちもまあ幸せ。+1
-1
-
131. 匿名 2017/09/08(金) 13:00:03
すごい!!
無事に全員産まれますように!
上の子3人は学校に行くとしても6人連れてどーやって出掛けたらいいんだ(笑)+2
-0
-
132. 匿名 2017/09/08(金) 13:28:13
この細っこいお母さんに、6人もこのあと入る余地あるのか!?
あと多人数宿ると
壁みたいなの?が出来るの??
一人一人囲ってるよね??これなに?+0
-0
-
133. 匿名 2017/09/08(金) 14:48:56
これはどういう状態ですか?![【リアルおそ松くん】3人の子どもが居る夫婦、六つ子が発覚し9人の子どもに!]()
+0
-1
-
134. 匿名 2017/09/08(金) 22:37:22
6人となると生まれてくるときすごく小さくて軽そう
手のひらに乗るくらいだったら心配ね+0
-0
-
135. 匿名 2017/09/08(金) 23:06:17
す、すごいエコー写真だ+0
-0
-
136. 匿名 2017/09/09(土) 16:38:28
エコー写真こわい+0
-0
-
137. 匿名 2017/09/09(土) 16:41:05
>>133
グロ画きもちわるい
てかお腹に6人もギッチリ詰まってるの想像したらグロい+0
-0
-
138. 匿名 2017/09/10(日) 16:30:21
白人の子供の暴れっぷりは異常、病気かと思う+0
-0
コメントを投稿する
トピック投稿後31日を過ぎると、コメント投稿ができなくなります。削除すべき不適切なコメントとして通報しますか?
いいえ
通報する






【簡単に説明すると】 ・3人の子どもがいる夫婦の妻が妊娠 ・超音波検査の結果、6つ子だった ・男の子と女の子3人ずつ。